タイトル説明文サンプル
HOME ≫ インプラント・ホワイトニング・矯正歯科 ≫
歯の根の代わりになるチタンの棒を骨に埋め込み、その上に歯をかぶせていく方法。
| 対応本数 | 1本から、全ての歯を失った場合 |
|---|---|
| 周囲の歯や顎の影響 | ・歯を失った部分のみの治療で、周囲の歯に負担をかけない。 ・歯を失った部分の骨が機能回復する為やせない。 |
| 審美 | ・ご自分の歯に近い見た目。 |
| 清掃 | ・ご自分の歯と同様に歯ブラシ、スーパーフロス、歯間ブラシ等で清掃。 |
| 治療期間 | 顎の状態によって異なるが、4ヶ月から1年くらい。その後も噛み合わせのチェックなどは必要。 |
| 欠点 | ・簡単な手術が必要である。 ・私費の治療となる。 |
失った歯の両側の歯を削り、冠を橋渡しすることによって失った歯を補う方法。
| 対応本数 | 数本失った場合 |
|---|---|
| 周囲の歯や顎の影響 | ・周囲の健康な歯を削る必要がある。 ・大きな負担が健康な歯にかかる。 ・歯を失った部分の骨がやせる。 |
| 審美 | ・保険適用外の材料を選択すれば、ご自分の歯に近い見た目。 |
| 清掃 | ・ご自分の歯と同様に歯ブラシし、歯の無い所はスーパーフロス、歯間ブラシ等で清掃。 |
| 治療期間 | 周囲の歯の状態によるが2週間~2ヶ月前後で装着。その後も調整必要。 |
| 欠点 | ・清掃性が悪くなり、支えている歯が歯周病や虫歯になる可能性がある。 ・支えの歯に負担がかかり、将来的に折れる場合もある。 ・歯を失った部分の骨がやせてくる。 |
失った歯の周囲の歯に金属の留め金をつけて、取り外しの人工の歯を留める方法。
| 対応本数 | 数本失った場合 |
|---|---|
| 周囲の歯や顎の影響 | ・周囲の歯に留め金をかけるため、大きな負担が健康な歯にかかる。 ・歯を失った部分の骨がやせる。 |
| 審美 | ・留め金が見える部分もある。 |
| 清掃 | ・はずして義歯の洗浄をする。支える歯も清掃。 |
| 治療期間 | 周囲の歯の状態によるが2週間~2ヶ月前後で装着。その後も調整必要。 |
| 欠点 | ・清掃性が悪くなり、支えている歯が歯周病や虫歯になる可能性がある。 ・外出先などでも取り外しをしなければならない。 ・異物感を感じやすい。 |
③青色LEDを歯に照射する(5分×3回照射)
※LEDは熱を発しないために、歯にダメージを与えないので長時間の使用も心配ありません。
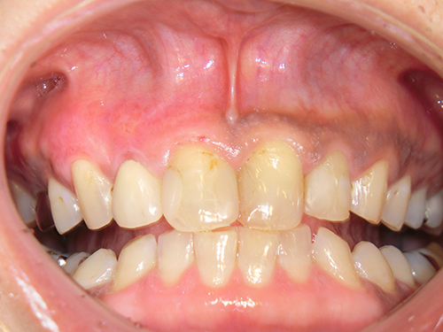
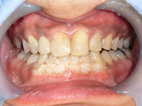
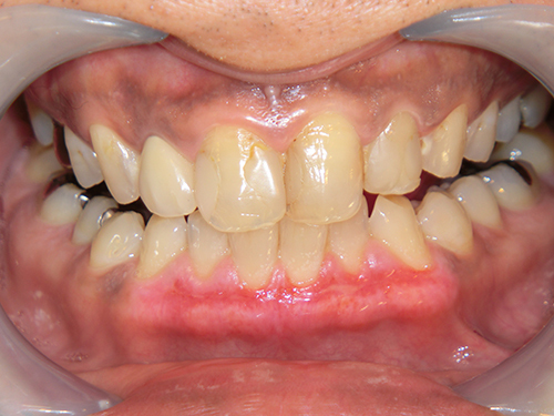
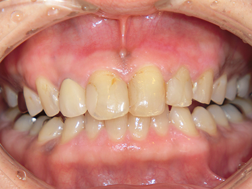
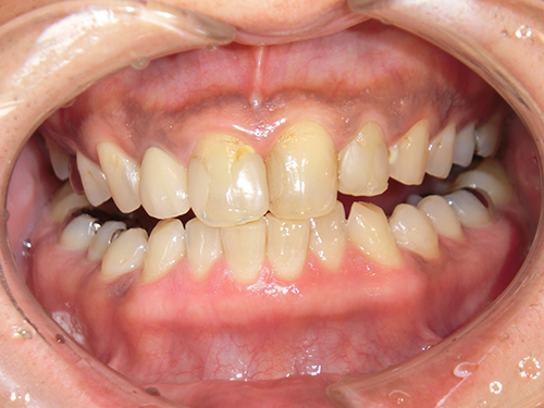
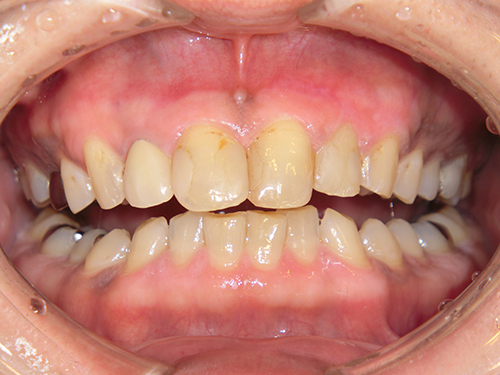
ホワイトニングにてA4(着色時)からA2(白)という色に白くなりました。
ホワイトニング1回(5分×3回照射)上下12本 6,600円
3回(3日間)施術必要の為 6,600円×3=合計19,800円
★3回施術後、白さを保つため「3回セット」を無料で施術
(無料時は保険内でのクリーニングを行い、仕上げにホワイトニングメインテナンスを施術させて頂きます)
・効果には個人差があり、白くなりにくい場合があります。
・白さを実感するまでに多少時間がかかります。
・色が「あと戻り」するので、メンテナンスが必要になります。
・白くできない歯もある
テトラサイクリン歯:テトラサイクリンという抗生物質の影響で縞模様に変色した歯
神経を失って変色した歯:神経を失うことで黒く変色した歯
人工物:詰め物・被せ物に使う銀歯・レジン・チタンなどの素材
・歯がしみるなどの症状(知覚過敏)が起こる可能性があります。
¥5,500(税込)
1回約30分
範囲は安全面を考慮して審美的に見える範囲で行います。(小臼歯部手前まで)
・色素沈着の状況によっては黒ずみが取り切れない場合があります。
・施術後は辛い物や刺激のある食べ物や飲み物は1日~3日ほど摂れなくなる可能性があります。
・喫煙や食生活の影響でメラニンが早期に再付着する可能性があります。

所在地
〒799-2430
愛媛県松山市北条辻1352
電話番号
089-992-0026
診療時間
平日
9:00~12:00/13:30~18:30
土曜
9:00~12:00/13:30~16:30
休診日
木曜・日曜・祝日
スマートフォンからのアクセスはこちら
1.診査・診断
・CT・インプラントを埋め込む顎の骨の量や質、形を診査するため、お口の中の型を取ります。・レントゲン撮影、また骨の状態によっては、CT撮影を行います。